Home Blog Zygomatic Dental Implants: Cost, Procedure, and Complications

Zygomatic Dental Implants: Cost, Procedure, and Complications

by DIGITAL TIMES
0 comment


Zygomatic dental implants are a remarkable advancement in the field of dentistry, offering a revolutionary solution for individuals suffering from severe tooth loss. These implants provide a strong foundation for dental restorations, especially in cases where traditional dental implants may not be feasible.

Tooth loss can have a profound impact on an individual’s oral health, self-esteem, and overall quality of life. It can lead to difficulties in chewing, and speech, and can even result in bone loss over time.

Zygomatic dental implants have emerged as an effective remedy for such cases. When considering zygomatic dental implants, it’s crucial to discuss both the costs involved and potential complications to make an informed decision.

This article will delve into the procedure, cost, and complications associated with zygomatic dental implants, allowing you to weigh the pros and cons.

What Is Zygomatic Dental Implants

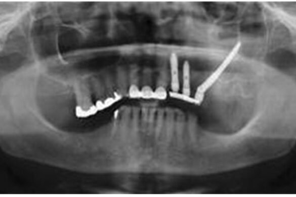
Zygomatic dental implants are longer than traditional dental implants, reaching the dense zygomatic bone located in the upper jaw. They provide a secure anchoring point for dental restorations like dentures or bridges.

This unique approach eliminates the need for bone grafting, making it a viable option for patients with substantial bone loss. Compared to traditional dental implants, zygomatic implants are particularly advantageous in cases where the patient lacks adequate bone density for conventional implants.

Traditional implants typically require a certain amount of healthy bone for successful placement, whereas zygomatic implants overcome this limitation. Zygomatic dental implants are typically recommended for individuals who have experienced significant bone loss, making traditional implants unsuitable.

Common indications include:

  • Patients with severe periodontal disease
  • Extensive tooth loss
  • Those who cannot undergo bone grafting procedures

The advantages of zygomatic dental implants are numerous. They offer a quicker and less invasive solution for patients who cannot undergo bone grafting.

Additionally, the restoration process is faster, improving the overall quality of life for patients who have struggled with tooth loss.

Cost of Zygomatic Dental Implants in Australia

Factors Influencing the Cost

  1. Geographic Location
    The cost of zygomatic dental implants can vary based on where you’re located in Australia. Major cities tend to have higher prices than rural areas due to differences in living costs and competition among dental professionals.
  2. Number of Implants Required
    The number of zygomatic implants needed plays a significant role in determining the overall cost. A comprehensive evaluation by a dental specialist will determine the appropriate number for each patient.
  3. Choice of Materials
    The type of materials used for the implant and restoration also influences the cost. High-quality materials may increase the upfront cost but often lead to better long-term outcomes.

Average Cost Ranges and Price Breakdown

On average, zygomatic dental implant costs in Australia can range from $4,000 to $6,600 per implant, which includes the surgical procedure and the dental restoration. It’s essential to discuss the breakdown of costs with your dental specialist to understand what is included in the quote.

Insurance and Financing Options

Zygomatic dental implants are typically considered elective procedures, and as such, they may not be fully covered by dental insurance. However, some insurance plans offer partial coverage, so it’s crucial to check with your provider.

Patients can also explore financing options and payment plans to make the procedure more affordable.

Tips for Reducing Costs

To reduce costs, consider seeking multiple quotes from different dental professionals to find a competitive price. Additionally, discussing your options with your dentist may lead to cost-effective choices in terms of materials and treatment plans.

Zygomatic Dental Implants Complications

Common Complications

  • Infection
    Infection is a risk with any surgical procedure, including zygomatic dental implants. However, strict adherence to post-operative care and maintaining good oral hygiene can significantly reduce this risk.
  • Implant Failure
    While zygomatic dental implants have a high success rate, there is still a chance of implant failure. Factors contributing to this include poor bone integration, improper implant placement, or inadequate post-operative care.
  • Nerve Damage
    Zygomatic implants are inserted close to delicate facial nerves, and in rare cases, nerve damage can occur. This can lead to numbness, tingling, or pain in the facial area.
    Choosing a skilled and experienced oral surgeon can help minimise this risk.

Rare Complications

  1. Sinus Issues
    Zygomatic dental implants are placed in the upper jaw, and in some instances, they may encroach on the sinus cavity. This can lead to sinus-related complications, including sinusitis.
    Proper evaluation and planning by the dental specialist can prevent such issues.
  2. Implant Migration
    Though rare, implant migration can occur if the implant becomes dislodged from the zygomatic bone. This can cause discomfort and require further surgery to correct.
    Regular follow-up appointments and meticulous care are essential to prevent implant migration.

How to Minimise the Risk of Complications

To minimise complications, it’s crucial to select an experienced oral surgeon who specialises in zygomatic dental implants. Additionally, follow the post-operative instructions provided by your dental professional diligently.

Regular check-ups and good oral hygiene are key to maintaining the health of your zygomatic implants.

Embracing a Brighter Smile with Zygomatic Dental Implants

Zygomatic dental implants offer a transformative solution for individuals with extensive tooth loss, eliminating the need for bone grafting and providing numerous benefits over traditional implants. However, the procedure comes with a cost and potential complications that should be carefully considered.

Before deciding on zygomatic dental implants, it is strongly advised to consult with a dental professional who can evaluate your specific situation and provide guidance on the best treatment plan. Your dentist will be able to address any concerns and answer questions related to the procedure.

Zygomatic dental implants have the potential to significantly improve the quality of life for individuals dealing with extensive tooth loss. The benefits of improved aesthetics, speech, and functionality are life-changing.

If you’re considering zygomatic dental implants, Zygomatic Dental Implants Bali offers more affordable but world-class expertise and state-of-the-art facilities to address your dental needs. Contact them today for a consultation to discuss your options and start your journey towards a brighter, healthier smile.

Don’t let tooth loss hold you back; take the first step towards a new and improved you. By thoroughly understanding zygomatic dental implants, their costs, and potential complications, you can make an informed decision and take a significant step toward a better and brighter smile.

Consult with a dental professional to discuss the best treatment options tailored to your specific needs.





Source link

You may also like

Copyright 2025 Digital Times. All Right Reserved.

Powered By